修复并发症:覆盖义齿附着体的并发症以及需要重衬
病因
所有的种植覆盖义齿的附着体出现磨耗就会失去其固位性。如果种植体上的附着体和剩余牙槽嵴上的修复基托没有同时接触,在附着体上承受的应力更大,往往会使它们的固位力丧失得更快。除此之外,某些患者存在咬硬物的习惯和/或创伤性运动,这会增加附着体上原已过大的应力,从而造成其固位力的丧失。同样这些因素也可能导致覆盖义齿的折断,不得不更换修复体。
由于剩余牙槽嵴常常发生改变,因此所有的修复体都需要进行重衬。骨吸收达到一定程度则需要重衬,每个患者达到这一程度的时限是不一样的。这个时限归因于患者失牙的时间,在牙齿缺失的早期剩余牙槽嵴发生改变更大。
对于牙列缺失年限小于10年的患者,比起行总义齿修复者,在下颌的前牙区植入2颗种植体行覆盖义齿修复的患者,其后牙区每年的骨吸收量更大。但这种情况并不见于缺牙10年以上的患者。这个结论表明对牙列缺失不足10年的患者很大程度上需要重衬。
存在创伤性运动的患者,其覆盖义齿承受的 牙合力很大,从而传导到剩余牙槽嵴上,会使其吸收加重,以致需要重衬。除此之外,种植修复的患者的牙合力比全口活动义齿的更大。种植体支持或种植体固位的修复会有更强的咬合能力,因此,在种植覆盖义齿的后牙区对应的较大范围的剩余牙槽嵴区域常需要重衬。
预防和治疗
如果覆盖义齿的固位装置以及剩余牙槽骨在受力时能同时接触,则有利于压力的均匀分布,这有助于减缓因剩余牙槽嵴骨吸收而导致重衬的时间间隔。
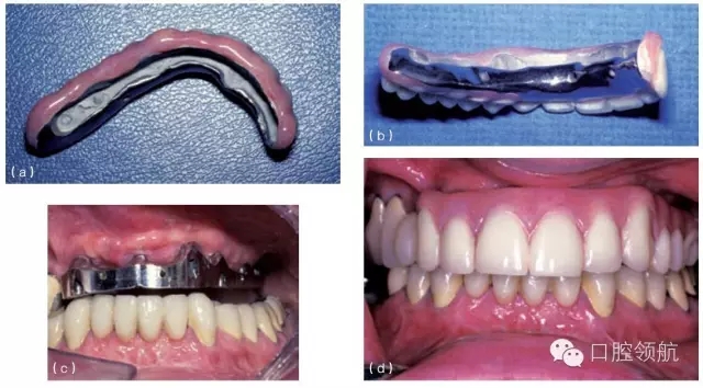
对于修复体的功能期望值很高的患者,或者在之前的总义齿修复中显示出很大咬合力的患者(以修复的牙齿磨耗为印证),建议增加种植体和固位装置的数目(图10.5a,b)。通过这种方式,用多个附着体分散应力,从而能降低需要调整或更新的可能。除此之外,种植体及相关的固位装置在剩余牙槽嵴的分布区域变大,从而减少修复基托与牙槽嵴的接触面积。

图10.5 (a)4枚种植体杆式连接的面观,远中有游离悬臂。(b)覆盖义齿上包含多个前牙区的夹子和两个滑钉,用以提供固位和支持。
种植覆盖义齿应该有合理的设计,以促进修复体水平向的稳定和抵抗修复体垂直向脱位。杆卡结合嵌入覆盖义齿内的金属上部结构能为义齿提供最好的水平向稳定(图10.6a~c)。为了抵抗垂直的脱位力,可使用水平活塞装置或铰链连接装置(图10.7a~e)。

图10.6 (a)上颌种植体支持式修复体,组织面的面观,其就位于个性化铸造的切削杆上。(b)上颌种植体支持式修复体的舌面观。在金属支架上可见为舌侧螺钉留出的螺纹洞。(c)切削杆的正面观。切削杆的基部结构与上颌修复体(上部结构)紧密接触,以提供支持和稳定。主要的固位力来源于舌侧的螺钉,它将基底结构与修复体连接。

图10.7 (a)5颗种植体通过杆式连接。杆的两侧种植体的远中有悬臂梁,上面带孔,用以容纳覆盖义齿上附着体的滑动杆。(b)覆盖义齿的组织面观,可见前牙区有固位夹,后牙区有两个滑动杆。滑动杆在义齿上是沿着唇舌方向滑入以及滑出的。(c)下颌覆盖义齿和上颌全口义齿的正面观。滑动杆有一个突出的边缘,让患者用来分离滑动杆和取下义齿。指甲置于滑动杆外缘下面,向颊侧牵拉滑杆,则滑杆将与杆卡上的孔分离,卸下义齿。(d)铸造杆的侧面观。可见其向颊侧倾斜约20°,在前牙区的颈部形成倒凹。在后牙区可见环形的凹槽,用以容纳滑行的固位装置。(e)修复体的组织面观,有唇侧翼板,腭侧体积较小。当后牙的固位装置没就位时,向舌侧突出。
对于缺牙期较短的无牙患者使用种植覆盖义齿出现严重骨吸收的报道,促使一部分的学者提出对于年轻患者应该慎重选择种植覆盖义齿。另外有一篇综述的作者则提出对于年轻无牙颌患者或缺牙期较短的患者不建议选择覆盖义齿。对于这类患者,下颌选择种植体支持式全口固定义齿将比种植覆盖义齿更能保存剩余的骨量。
来源于口腔领航
相关资讯
推荐产品

- 德国DMG硅橡胶印模材料(重体)
- 德国DMG硅橡胶印模材料(重体)

- 宇森全能种植无菌拔牙套装团购
- 宇森全能种植无菌拔牙套装团购,国产牙科种植机,牙科种植机哪家的好?可拆卸种植弯机 “保养大法”,学会它,寿命可再战几年!科贸嘉友 029-88651307、17791999852

- 德国科卢森生物骨粉
- 德国科卢森 CERASORB?M生物骨粉,售价:460元/0.25g,760元/0.5g












