病例分享 || 玻璃陶瓷-琥珀瓷的临床实战病例 科贸嘉友收录
由VITA SUPRINITY材料通过CEREC®系统设计并完成切削的16牙位的后牙全冠

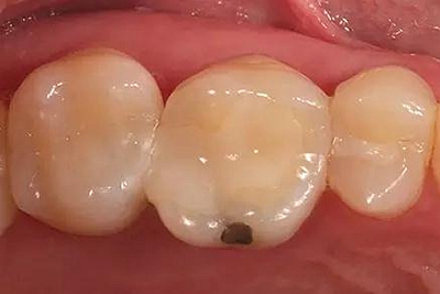
步骤1 原始状况
16牙位牙齿牙合面观.
牙齿经过根管治疗且充填修补,需要重新修复。

步骤2
原始x线影像
X线摄片状况。

步骤3
牙体制备完成后的牙合面观
牙合面观察牙体预备之后的情况。
轴壁按要求预留0.8 mm 宽度。

步骤4
咬合间距
与对牙合牙的咬牙合面间隙至少保留: 1.0 mm 点隙裂沟处的距离,1.5 mm 牙尖高度的距离。

步骤5
材料选择

步骤6
牙冠形态设计
使用CEREC-Software 4.3版本软件进行修复体形态设计。

步骤7
腭侧的边缘
腭侧边缘的设计如图

步骤8
结晶前
在结晶烧结之前设计完成切削的修复冠。

步骤9
结晶后
结晶烧结之后的修复冠。

步骤10
氢氟酸处理1分钟
氢氟酸凝胶预处理约60 秒,详情请参照厂方说明。

步骤11
硅烷化处理 1 分钟
硅烷化剂涂布并干燥,约 60 秒。

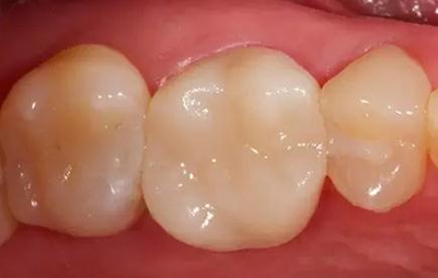
步骤12
最终修复冠
抛光后的修复冠。由VITA SUPRINITY材料制作, 选择1M2-HT。

来源:口腔新科技
此文关键字:宇森牙科电动马达 |美学修复电动马达
相关资讯
- 元旦与春节的区别
- 种植取模四手操作
- 种植取模四手操作
- 口腔儿牙早期矫治间隙管理.精确诊断.正畸技术11H-李明
- 种植取模小技巧
- 蒋大为《再见了大别山》
- 种植牙不是您想种马上就能种!做种植牙需要哪些前提条件呢?
- 如果半口/全口缺牙,也要一颗一颗种吗
- 丹巴拥忠《故乡之恋》
- 牙周宁片的功效与作用
推荐产品

- 科贸嘉友牙线棒(批发)
- 规格:通用型:50盒起订
- 左右转颈椎支撑仪
- 零售价:230元 品牌: 型号: 翊山牌爽肩宝按摩器 ,怎么缓解低头族颈椎病?低头族必备品。左右转颈椎支撑仪哪个牌子好?全国服务热线 029-88651307












